Before-After ภาพการรักษารากฟันเทียม ฟันปลอม
เราพร้อมให้บริการทั้ง 4 สาขา ในกรุงเทพฯ & ปริมณฑล (นนทบุรี, ปทุมธานี)
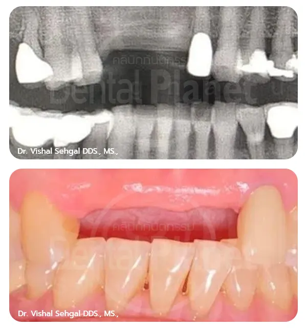
ภาพการรักษา รากฟันเทียม
Before-After สะพานฟันหน้าบนรากฟันเทียม
Before-After สะพานฟันหน้าบนรากฟันเทียม
Before-After สะพานฟันหน้าบนรากฟันเทียม
Before-After รากฟันเทียมฟันล่าง
Before-After รากฟันเทียม
Before-After รากฟันเทียมฟันหน้า
Before-After รากฟันเทียมฟันหน้า
Before-After ภาพการรักษารากฟันเทียม
ภาพการรักษา ฟันปลอม

