ทันตแพทย์ประดิษฐ์
ทันตแพทย์หญิง ธันย์ชนก ดัชนีวรรณ
ความเชี่ยวชาญ
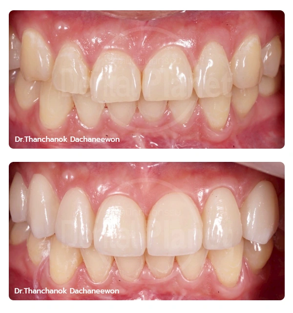
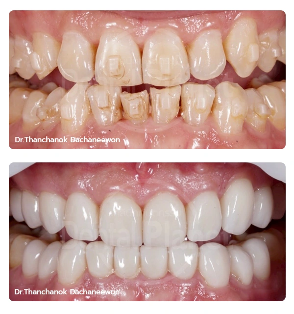
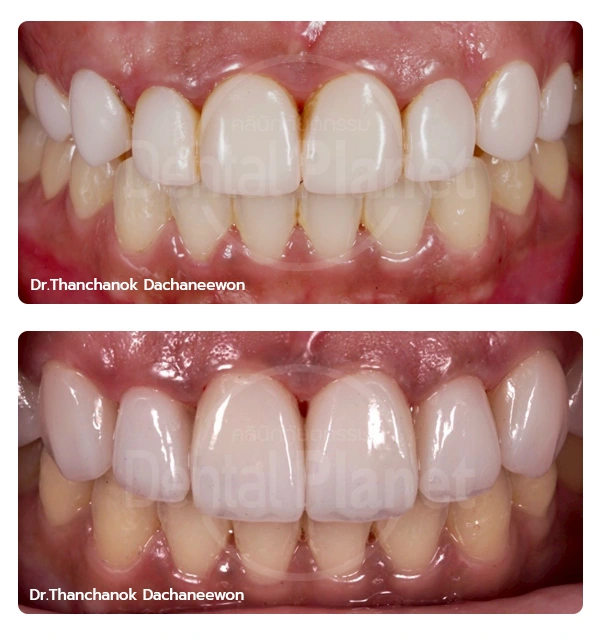
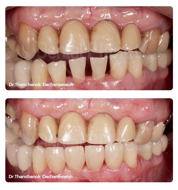
เฉพาะทางสาขาทันตกรรมประดิษฐ์
ข้อมูลการศึกษา
- ทันตแพทยศาสตรบัณฑิต มหาวิทยาลัยมหิดล
ได้รับการรับรองและความสำเร็จ
- ประกาศนียบัตรบัณฑิต สาขาทันตกรรมประดิษฐ์ มหาวิทยาลัยเชียงใหม่
- ประกาศนียบัตรการอบรม Tricks and Tips for bone graft techniques: an intensive course มหาวิทยาลัยเชียงใหม่
- ประกาศนียบัตรการอบรม Lecture and Hand-on & Lab for the Veneer Bootcamp Course at nuvoDent Co., Ltd
- ประกาศนียบัตรการอบรม The Veneer Blueprint Course คณะทันตแพทย์ศาสตร์ มหาวิทยาลัยศรีนครินทรวิโรฒ
- ประกาศนียบัตรการอบรม Implant in the esthetic zone: From A-Z
ภาษา
- อังกฤษ, ไทย
A title
Image Box text

