Before-After จัดฟันแบบใส invisalign – จัดฟันแบบโลหะ – จัดฟันแบบ Damon
เราพร้อมให้บริการทั้ง 5 สาขา ในกรุงเทพฯ & ปริมณฑล (นนทบุรี, ปทุมธานี)
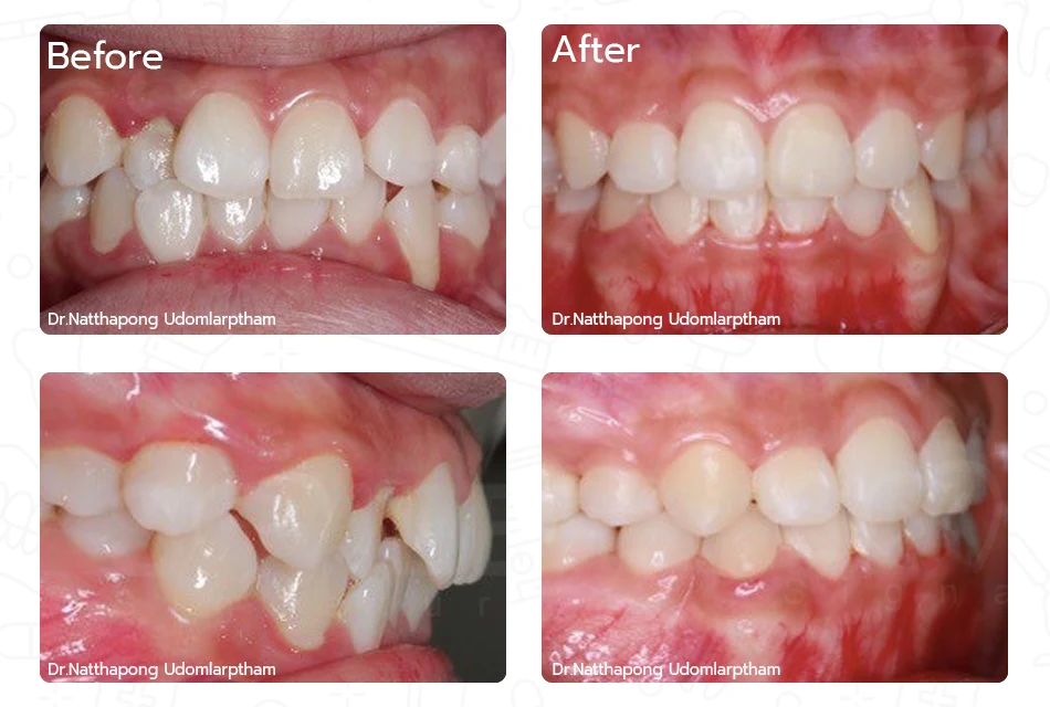
Before-After
Before-After
Before-After
Before-After
Before-After
Before-After
Before-After
Before-After
Before-After
Before-After
Before-After
Before-After
Before-After
Before-After
Before-After
Before-After

